歯周病と花粉症と糖尿病が完治した症例
重度歯周病と糖尿病と花粉症が混在した症例

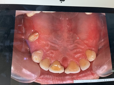
初診より8年後の上顎の写真。初診時の写真は不明。

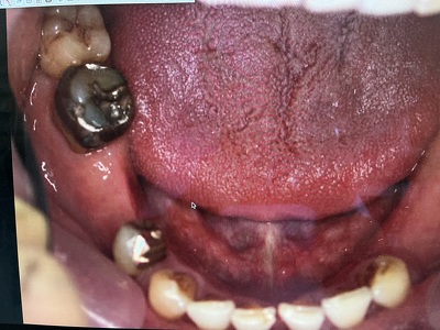
初診より8年後の下顎の写真

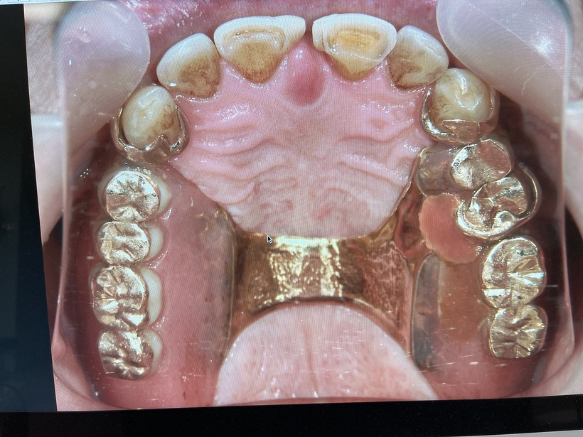
上顎の義歯と残存歯 一部修理

下顎義歯と残存歯
患者さん当時50歳男性転勤族。1994.9.27初診。糖尿病と花粉症を併発していました。私は歯科医なので歯周病の治療に専念していました。11か月後ほぼ歯周病のポケットはなくなりました。ある診療時に初診の予診票を眺めていると、花粉症の文字が見えました。私は違和感を感じ「花粉症はどうですか?」と質問すると患者さんは一瞬の沈黙の後「治った!治った!」と喜び始めました。当院で花粉症が治った2例目でした。私が虫歯・歯周病・口呼吸と全身疾患に関連があると気付いた瞬間でした。
グラフは歯周病のポケットの改善状況とHba1c(糖尿病の指数)の変化を表しています。見事に連動しています。最近では軽度・中程度の糖尿病は1か月あればHba1cが正常値なります。症例は後日載せます。
この男性は50歳で16本の歯を失っていました。20歳から50歳までの30年間で16本失ったとするとほぼ2年で1本のペースです。初診より30年ですのでもうすべての歯を失っていることになります。現実に失った歯は30年間で1本です。今のところなくなりそうな歯はありません。本当は0本を目指していますが、0は難しいです。歯の打撲等の事故があるからです。
コロナの影響でここ数年拝見できていないですが多分大丈夫でしょう。
当時当院は保険診療をしていましたが患者さんに自費の義歯の作成を許可して頂きました。初診より1年半後新しい上下の部分義歯が完成しました。最高の金属(白金加金)を使用したため上下で70万円になりました。支払い時患者さんは「高いな~!」と思われたそうです。義歯装着より25年余りが過ぎ多少の修理はあったもののそのままの義歯を快適に使用出来ています。最近の感想は「こんなにも安い買い物は他になかった‼」です。
今後の目標は患者さんが元気で100歳を目指せるよう支援することです。