コラム

column

何故保険診療では根管治療が上手く出来ず抜歯になるのか?

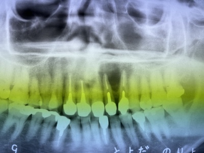
患者さんは静岡県からお出でになりました。レントゲン写真の右上2番の治療を依頼されました。


レントゲンでは上手く治療できているように見えますが治療結果は悪く、たびたび化膿を繰り返し、抜歯を進められていました。


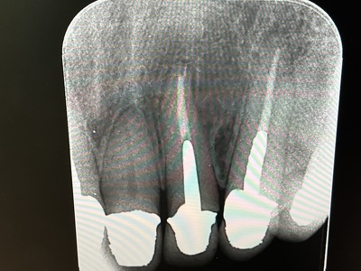
当院で治療後のレントゲンです。根の尖にあった病巣が消失しています。

何故このような事が起きたのか?分析します。
一つ目は歯科医院の経営問題です。私の診療室は全国一規模が小さいです。院長一人で運営しているからです。従業員がいないため人件費がかかりません。以前はスタッフが5人程いました。経費として時間当たり1万円以上上乗せになります。単純に時間当たり2万円の経費が掛かるとします。
さてこの症例を保険治療で行うといくらになるか計算しました。4130円でした。12分以内で治療しないと赤字です。私がこの症例を治療すると3時間ほど要しました。経費が6万円ですから4130円ー60000円=-55870円の赤字です。これでは保険の治療は不可能です。
しかし抜歯をすれば数分で黒字です。その後保険のブリッジBrでも黒字、保険外のBrなら歯医者ニコニコ、インプラントになるとウハウハです。抗生剤の投与でずるずると放置し、度々の痛みに疲れ諦めた患者さんの「抜いてください」言葉を待っています。
この患者さんの前医の技量レベルは相当高いと思いますが結果は悪かった。上手く治療できなかった理由は判りませんが再治療の報酬がマイナスでは意欲は湧きません。
二つ目は技量の問題です。歯科治療は丁寧に時間を掛けて行わなければうまくいきません。これの繰り返しで技術が高まります。歯科医の実力はピンキリです。
三つ目は顕微鏡(マイクロスコープ)です。当院では2007年に500万程かけて導入しました。顕微鏡無しの治療と有りを表現すると無しは目をつぶって掃除をする、有りは目を開けてなお且つ汚染部を拡大しながら掃除をするデス。やはり相当時間と経費がかかります。
以上の事が日本全国で皆さんの口の中で起きています。虫歯を作らないこと、作ってしまったら歯医者を選ぶことが大事です。「費用を安くして欲しい」は患者さんのわがままです。