コラム

column

何故保険治療では抜髄(神経を取る)が増えるのか?

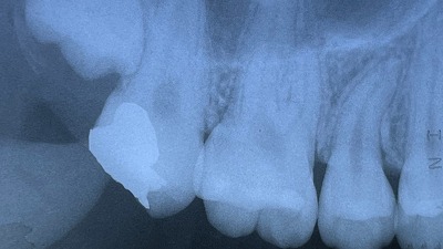
患者さんは20歳の女性。他院で次回抜髄と言われ、母親と来院しました。


治療後のレントゲンです。

ネットで「根管治療成功率」と検索してみてください。思った以上に低いと思います。特に大臼歯は難しい。歯科医の間では「最良の根充材は歯髄である」と言われます。神経を取らないことです。
この症例は無麻酔下でラバーダムとマイクロスコープを使用して2時間治療に要しました。費用は4万円+消費税でした。幸いにも治療後の炎症も起きずに十数年経過しています。この症例を考察します。

1つ目は抜髄の基準です。いま自発痛(何も刺激をしないのに痛みがある)が無いのに単に虫歯が深いという状態で抜髄しようと判断したことです。過剰治療です。また自発痛があっても歯髄に細菌の感染がない状態ならば歯髄を残すチャンスはまだあります。乳歯では感染があり頬っぺたが腫れている虫歯を感染歯質を除去しそこから排膿を促し、抗菌剤を使用しながら歯髄を残すことが出来ました。永久歯でも可能性はあると思いますが、患者さんがチャレンジを望むかどうかです。

2つ目は診療報酬の問題です。この症例を保険で行うと総額で410円です。材料費も道具もこちら持ちです。信じられないでしょう。抜髄の方が報酬が良いので前の歯科医はそちらを選択しようとしました。残す治療はあまりにも安いので患者さんに訳を話し了解を得て別にお金を頂くと「保険金搾取」で厚労省が通報し警察が動きます。

3つ目は無麻酔下で治療を行うことです。一般に普通の歯科では虫歯治療の前に麻酔をすると思います。当院ではほぼ麻酔なしです。痛がる患者さんには呼吸法やツボ押しを併用すると治療できます。
保険医では時間が無いため短時間で治療したいのです。高速の切削器具(キ~ンと鳴るタービン)で作業をします。深い虫歯は簡単に歯髄に達し出血します。そうすると「神経を取ります」と言われます。仮にうまく歯髄を残せてもタービンで切削すると歯髄が火傷を起こし後から歯髄死が起きます。タービンで歯を削合中は火花が飛んでいます。熱を持つためスプレーで冷やしています。
また麻酔液には血管収縮剤が入っており、血流がなくなり熱を持った歯髄の冷却が出来ないため歯髄死の可能性が高まります。当院では浅いところはタービンで中程度のところは低速の機械で深いところはよく研いだ手用器具でカンナを掛けるように行います。麻酔をしてないため歯髄が近くなると患者さんの感覚があるので私に情報が伝わります。

4つ目はマイクロスコープ下で治療することです。30倍以上に拡大するため見落としがなく出来ます。ただ時間が必要です。

5つ目はラバーダムの使用です。ラバーダムを使用することで歯髄への感染が減ります。ラバーダムの技術は古くからありますが、面倒なため歯科医がやりません。当院に来た患者様はほぼ未経験です。以前は保険で100円の報酬がついていましたが現在は無しです。これではますますラバーダムの使用はなくなります。

歯髄が死んでしまった歯は歯根破折を起こしやすくなり、抜歯の可能性が高まります。当院の抜歯理由は歯根破折が一番多いです。
また保険上で歯科医は苦しんでいます。本当にがんじがらめです。その為インプラントに逃げるようになっています。もし貴方がよい治療を受けたと思ったら是非金銭で歯科医を助けてください。

歯科医でここまで見てくれた方に教えます。厚労省が認める合法的な収入アップの方法があります。「予約診察料」と言います。歯科医師会の幹部や保険担当者は知っていますが一般会員はほぼ知りません。私もそうでした。保険医療機関の辞退前に知っていたらこれを選んだと思います。保険規則の「みどり本」に書いてあります。